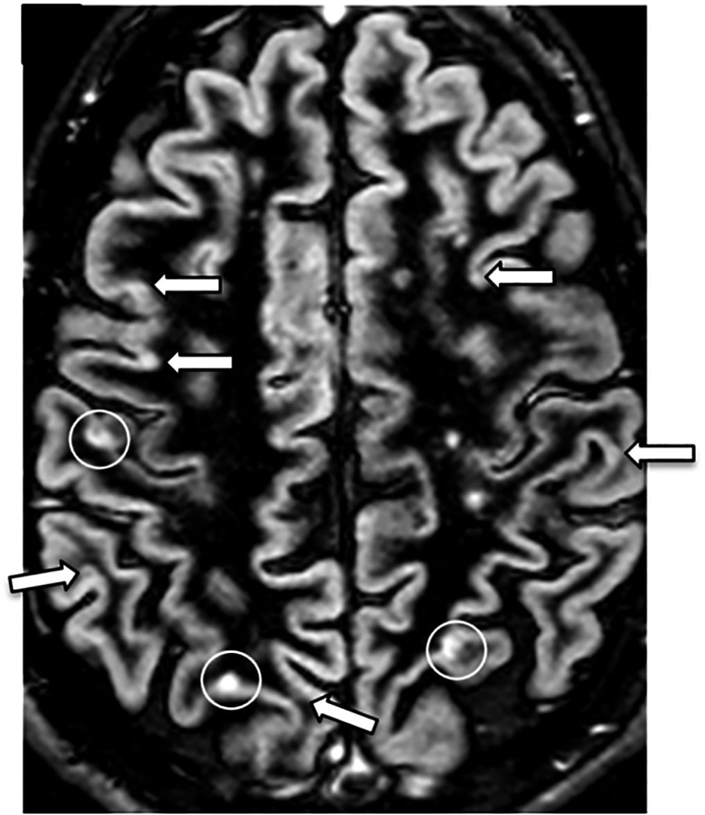
MRT skaneeringut kasutatakse väga erinevate haiguste diagnoosimiseks. Sellel pildil on näha polüskleroosi kolded.