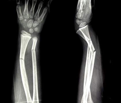
Murdunud käeluu röntgenpilt

Just selliste röntgenpiltide järgi oskavad arstid murdunud käeluu jälle õigesti kokku panna.